Trong lĩnh vực chấn thương chỉnh hình, điều trị gãy hai xương cẳng chân luôn là một thách thức lớn, đòi hỏi kỹ thuật cao và khả năng phục hồi nhanh để giảm thiểu thời gian nằm viện cũng như biến chứng sau mổ. Trước đây, các phương pháp như nắn bó bột, mổ mở cố định nẹp vít hoặc đinh nội tủy truyền thống thường đi kèm nhiều nhược điểm: mất máu nhiều, nguy cơ nhiễm trùng cao, hồi phục chậm và ảnh hưởng đến thẩm mỹ.


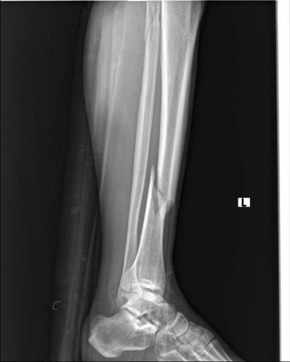
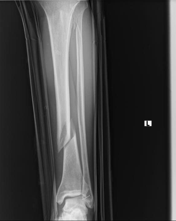
Hình ảnh: Xquang xương trước phẫu thuật

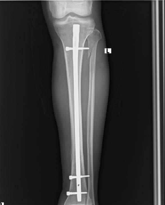
Hình ảnh: Xquang xương sau phẫu thuật
Đáp ứng yêu cầu điều trị hiện đại, Bệnh viện Đa khoa Hòa Bình đã ứng dụng thành công kỹ thuật đóng đinh nội tủy có chốt ngang dưới màn hình tăng sáng (C-arm) – một phương pháp ít xâm lấn, an toàn và hiệu quả cao trong điều trị gãy xương ống dài. Chỉ với một đường rạch da nhỏ khoảng 3–4cm, đinh nội tủy được đưa vào ống tủy qua hệ thống định vị dưới C-arm, cố định bằng chốt ngang hai đầu mà không cần mở ổ gãy. Kỹ thuật này giúp:
- Nắn chỉnh chính xác, cố định vững ngay từ đầu
- Hạn chế tối đa tổn thương mô mềm và mất máu
- Giảm nguy cơ nhiễm trùng, tắc mạch
- Thẩm mỹ cao, ít đau và phục hồi nhanh
Kết quả thực tế tại Bệnh viện Đa khoa Hòa Bình
Từ tháng 01/2025 đến nay, Khoa Chấn thương chỉnh hình đã thực hiện thành công hơn 20 ca phẫu thuật, chiếm đến 90% số ca gãy hai xương cẳng chân trong 6 tháng đầu năm. Qua theo dõi:
- 100% bệnh nhân phục hồi tốt, đi lại sớm, không có biến chứng nặng
- Hình ảnh X-quang sau mổ cho thấy xương được nắn chỉnh và cố định vững chắc
- Sau 3 tháng, mức độ can xương vượt trội, tương đương mổ mở sau 6 tháng – chứng minh hiệu quả vượt trội của kỹ thuật
Thành công này có được nhờ sự chủ động cập nhật kiến thức, thực hành thành thạo kỹ thuật mới của đội ngũ bác sĩ Bệnh viện Đa khoa Hòa Bình. Cùng với đó, bệnh viện đã đầu tư hệ thống màn hình tăng sáng hiện đại, bàn chỉnh hình chuyên dụng, giúp hỗ trợ tối đa cho cuộc phẫu thuật đạt kết quả tốt nhất.
Triển vọng trong thời gian tới
Trong thời gian tới, Bệnh viện Đa khoa Hòa Bình sẽ tiếp tục:
- Mở rộng chỉ định kỹ thuật này cho các loại gãy xương khác phù hợp
- Tăng cường đào tạo và chuyển giao kỹ thuật cho các bệnh viện tuyến dưới
- Đẩy mạnh nghiên cứu, cải tiến nhằm nâng cao hơn nữa hiệu quả điều trị và phục hồi chức năng cho người bệnh
Với phương châm “Lấy người bệnh làm trung tâm, lấy hiệu quả điều trị làm mục tiêu”, Bệnh viện Đa khoa Hòa Bình cam kết không ngừng đổi mới, ứng dụng kỹ thuật hiện đại vì sức khỏe cộng đồng.
BSCKI Bùi Văn Tùng
Khoa Chấn thương chỉnh hình – BVĐK Hòa Bình